
소아 휜 다리의 발달 과정과 치료법
게시2026년 4월 18일 06:30
newming AI
AI가 1개의 뉴스를 요약했어요.
신생아는 대부분 O자형 다리로 태어나 2세 전후 곧게 펴지며, 3~4세에 일시적으로 X자형으로 변했다가 6~7세에 정상 정렬로 성장한다. 일부 소아에서는 구루병이나 유아 경골 내반증 등 병적 원인으로 휜 다리가 지속되거나 심해질 수 있다.
구루병은 칼슘과 비타민 D 부족으로 발생하며 영양 보충으로 대부분 치료 가능하고, 유아 경골 내반증은 성장판 장애로 인한 내반슬로 10개월 이전 빠른 걸음마나 비만 아이에게서 나타난다. 심한 휜 다리는 비정상적 체중 부하로 젊은 나이에 무릎관절염을 유발할 수 있어 조기 진단이 중요하다.
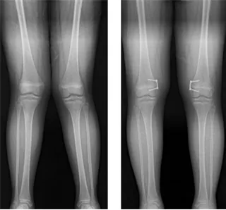
만 3세 이하는 보조기 사용을 시도할 수 있으나 효과가 증명되지 않았고, 사춘기 이후에는 반성장판 유합술이나 교정 절골술 같은 수술적 치료가 필요하다. 성장판이 닫히기 전인 남아 12~14세, 여아 10~12세 사이의 조기 치료가 가장 효과적이다.

[분당서울대병원이 알려주는 의료상식] 소아 휜 다리 치료…성장판 개폐 여부에 따라 달라져요